a woman with long hair standing in a field

Featured Image. Credit CC BY-SA 3.0, via Wikimedia Commons

Suhail Ahmed

The Science of Gratitude: How Thankfulness Rewires Your Brain for Happiness

cognitive science, gratitude benefits, power of gratitude, science of gratitude

Suhail Ahmed

 

It sounds almost suspiciously simple: say “thank you” more often and your brain, over time, becomes a happier place to live. For years, gratitude was filed under “soft” self-help advice, overshadowed by more dramatic interventions and life hacks. But a wave of neuroscience over the past two decades has quietly pushed gratitude into the realm of serious brain science, revealing structural changes, altered neural firing, and measurable gains in mental health. At the same time, personal stories – from patients coping with trauma to burned-out professionals – show how a simple shift in focus can tilt the brain’s emotional chemistry. What is emerging is not a feel-good myth, but a testable, biological reality: the way we notice and name what’s going right can literally reshape the mind.

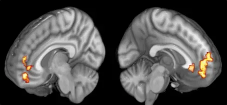
The Hidden Clues Inside a Grateful Brain

The Hidden Clues Inside a Grateful Brain (Image Credits: Wikimedia)
The Hidden Clues Inside a Grateful Brain (Image Credits: Wikimedia)

One of the most surprising twists in gratitude research is where in the brain the action shows up. Functional MRI studies have found that when people recall moments of sincere thankfulness, activity increases in regions tied to reward and social bonding, such as the ventral striatum and medial prefrontal cortex. These are the same territories that light up when we experience pleasure, anticipate a reward, or feel deeply connected to someone we trust. That suggests gratitude is not just a moral virtue; it is a built-in neural mechanism for tracking safety, support, and opportunity in our environment.

Researchers have also seen gratitude modulate regions associated with emotion regulation, including the anterior cingulate cortex. These areas help us shift attention away from threatening or negative cues and toward more balanced appraisals of our situation. Over time, that shift may explain why people who regularly practice gratitude report fewer symptoms of anxiety and depression. In other words, the hidden clue is not only that gratitude feels good in the moment, but that it teaches the brain to become better at managing emotional storms before they spiral out of control.

From Ancient Wisdom to Modern Neuroscience

From Ancient Wisdom to Modern Neuroscience (Image Credits: Wikimedia)
From Ancient Wisdom to Modern Neuroscience (Image Credits: Wikimedia)

Long before the first brain scan, spiritual traditions from Buddhism to Christianity treated gratitude as a daily discipline rather than an occasional emotion. Ancient texts urged followers to “count blessings” or offer thanks as a way to align the mind with something larger and more stable than personal worries. For centuries, that language was framed primarily in moral or spiritual terms, not biological ones. Yet when modern scientists finally turned their instruments toward gratitude, they found a striking convergence between age-old practices and contemporary data.

Psychologists in the early 2000s began running controlled experiments with gratitude journals and letters of appreciation, tracking mood and health outcomes over weeks and months. The pattern was hard to ignore: people assigned to gratitude conditions consistently reported greater life satisfaction, more optimism about the future, and better sleep. Some studies even found shifts in physical health markers, such as lower inflammatory indicators and fewer reports of aches and pains. What ancient wisdom intuited – that training attention toward the good is stabilizing – neuroscience is now mapping, synapse by synapse, into the circuitry of the brain.

Neural Rewiring: How Gratitude Changes Circuits Over Time

Neural Rewiring: How Gratitude Changes Circuits Over Time (Image Credits: Wikimedia)
Neural Rewiring: How Gratitude Changes Circuits Over Time (Image Credits: Wikimedia)

If you strip away the warm language around gratitude, what remains is a form of repeated mental training, and the brain is exquisitely sensitive to repetition. Each time you deliberately notice something you appreciate, you nudge neural pathways associated with reward, safety, and connection to fire together. Thanks to neuroplasticity, the principle that “cells that fire together wire together,” those circuits gradually strengthen, making grateful thoughts easier to access the next time. Over months, people often report that gratitude starts to feel less forced and more like their default lens on daily life.

Clinical studies back up this idea of cumulative change. Participants who engaged in weeks-long gratitude exercises showed measurable differences in brain activation compared with control groups, even when they were not actively doing the task. Some imaging work has linked gratitude practice with more efficient activity in the prefrontal regions that help regulate emotional responses and dampen the intensity of negative stimuli. The emerging picture is that gratitude is less like a single shot of happiness and more like a long-term strength training program for the brain’s emotional core. You are, in effect, teaching your nervous system that good things are real, worth noticing, and safe to feel.

The Chemistry of Thankfulness: Dopamine, Serotonin, and Stress Relief

The Chemistry of Thankfulness: Dopamine, Serotonin, and Stress Relief (Image Credits: Wikimedia)
The Chemistry of Thankfulness: Dopamine, Serotonin, and Stress Relief (Image Credits: Wikimedia)

Underneath the glowing brain images is a quieter chemical story unfolding in microseconds. Gratitude appears to trigger the release of dopamine, a neurotransmitter involved in motivation and reward, which helps explain why grateful people often feel more energized and eager to take positive actions. At the same time, gratitude practices have been associated with higher baseline levels of serotonin, the mood-stabilizing chemical targeted by many antidepressants. This blend of reward and calm turns gratitude into a kind of internal mood regulator, nudging your emotional state upward without the crash of external thrills.

There is also growing evidence that gratitude can dial down the stress response. When people engage in sincere, reflective appreciation, measures of cortisol, the body’s primary stress hormone, tend to drop over time. That hormonal shift has ripple effects across the body: lower blood pressure, improved immune function, and better sleep quality have all been linked with regular gratitude practice. Think of gratitude as a gentle but persistent biochemical counterweight to chronic stress, gradually tipping the balance toward a more resilient internal environment.

Why It Matters: Gratitude Versus Our Built-In Negativity Bias

Why It Matters: Gratitude Versus Our Built-In Negativity Bias (Image Credits: Unsplash)
Why It Matters: Gratitude Versus Our Built-In Negativity Bias (Image Credits: Unsplash)

From an evolutionary perspective, our brains were wired first and foremost to keep us alive, not content. That means we are naturally primed to notice threats, losses, and social slights far more vividly than subtle moments of support or beauty. Psychologists call this the negativity bias, and it can make modern life feel harsher than it really is, especially when combined with constant digital news and social comparison. Left unchecked, this bias can carve deep grooves of worry, rumination, and dissatisfaction into neural circuits.

Gratitude matters because it offers a deliberate counter-training to that ancient alarm system. Unlike simple positive thinking, which can feel like denial, gratitude does not require ignoring pain or pretending everything is fine. Instead, it asks the brain to hold both realities at once: the difficulty and the things, however small, that are still working in your favor. Over time, this dual awareness has been linked with lower rates of depression relapse, stronger relationships, and a greater sense of meaning in life. In practical terms, gratitude helps re-balance an old survival brain for a new, complex world, giving us a tool to live not just longer, but better.

Stories in the Data: How Gratitude Shows Up in Real Lives

Stories in the Data: How Gratitude Shows Up in Real Lives (Image Credits: Wikimedia)
Stories in the Data: How Gratitude Shows Up in Real Lives (Image Credits: Wikimedia)

Behind every graph and brain scan in gratitude research are people trying to get through very human struggles. In clinical settings, individuals recovering from trauma who added brief gratitude reflections to their therapy routines often described feeling a small but important sense of agency return. Instead of being defined solely by what happened to them, they began to notice who showed up, what strengths they discovered, or which tiny comforts helped them get through the day. That shift did not erase their pain, but it gave their brains more material to work with than fear and loss alone.

In broader population studies, people who regularly practiced gratitude – even something as simple as writing down three things they appreciated a few times a week – tended to report better relationship satisfaction and a greater willingness to help others. Interestingly, some research suggests that expressing gratitude to another person may boost the well-being of both the giver and the receiver, creating a feedback loop of positive emotion and trust. While these are averages, not guarantees, they point toward a pattern: gratitude is not just an inner feeling, but a social signal that can reshape the emotional climate of families, workplaces, and communities.

The Future Landscape: Tech, Therapy, and Global Well-Being

The Future Landscape: Tech, Therapy, and Global Well-Being (Image Credits: Unsplash)
The Future Landscape: Tech, Therapy, and Global Well-Being (Image Credits: Unsplash)

As interest in mental health surges worldwide, gratitude is beginning to migrate from self-help books into apps, clinics, and even corporate wellness programs. Digital platforms now guide users through brief daily reflections, track mood over time, and use reminders or gamification to make gratitude a more consistent habit. On the clinical side, therapists are weaving structured gratitude exercises into treatments for depression, anxiety, and substance use, testing how they interact with medication, cognitive therapy, and mindfulness-based approaches. The goal is not to replace existing tools, but to see whether gratitude can enhance and stabilize their effects.

Researchers are also exploring whether gratitude practices could play a role in large-scale public health strategies. If relatively simple, low-cost interventions can measurably reduce stress, improve sleep, and strengthen social bonds, the ripple effects could show up in everything from workplace productivity to healthcare costs. There are challenges, of course: gratitude practices must be culturally sensitive, accessible across different age groups, and carefully studied to avoid overhyping their impact. But the trajectory is clear. In the coming years, the science of gratitude is likely to move further out of the wellness niche and into the mainstream of how societies think about mental resilience and emotional literacy.

Try It Yourself: Small Gratitude Habits with Big Payoffs

Try It Yourself: Small Gratitude Habits with Big Payoffs (Image Credits: Wikimedia)
Try It Yourself: Small Gratitude Habits with Big Payoffs (Image Credits: Wikimedia)

Translating all this science into daily life does not require a radical overhaul; it starts with surprisingly small experiments. One simple practice is an evening “scan” where you spend just a couple of minutes recalling three moments from the day that you genuinely appreciated, no matter how minor. Another is a weekly gratitude note – written or spoken – to someone whose actions, presence, or example has made your life a bit easier or richer. These acts might feel awkward at first, especially if your brain is more used to scanning for problems, but awkwardness is just the feeling of new neural pathways being tried out.

For a more structured approach, some people find it helpful to keep a brief gratitude journal, or to set a recurring reminder on their phone prompting a ten-second appreciation check-in. The key is consistency rather than intensity; the brain changes through repetition, not occasional grand gestures. You might also experiment with linking gratitude to existing routines – like mentally naming one thing you are thankful for while brushing your teeth or waiting for a traffic light. Over time, these practices can create a quiet but noticeable shift in how your mind narrates your life, making space for more joy, connection, and calm. The science suggests that your brain is listening closely; what will you choose to thank it for today?

Leave a Comment