A new study suggests that some modern brain malformations may be linked to Neanderthal ancestry. Researchers have found that people with Chiari malformation type 1, a condition where the lower part of the brain extends into the spinal canal, share skull traits with Neanderthals, including a flatter and smaller occipital bone. The findings raise the possibility that ancient interbreeding left behind genetic traits that still affect human health today.
Skull Shape and Brain Compression

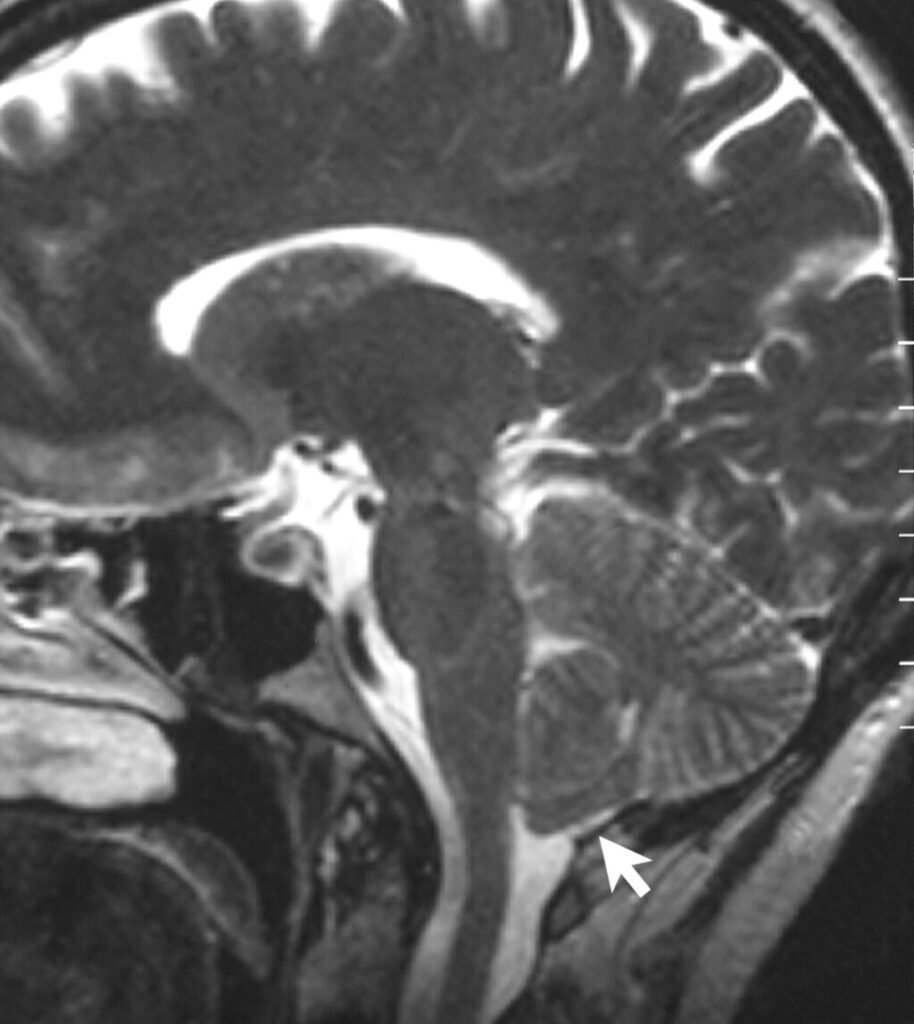
Chiari malformation type 1 affects about 1 in 100 people and can cause symptoms such as headaches, dizziness, and balance issues. Using 3D models from CT scans of 46 affected individuals and 57 controls, researchers found that Chiari skulls had a compressed cerebellum and a flatter cranial base, traits that closely resemble those of Homo neanderthalensis. In contrast, the control group’s skull aligned more closely with modern Homo sapiens.
Testing the Archaic Homo Introgression Hypothesis
The study tested the Archaic Interogression Hypothesis, which proposes that certain cranial development genes in modern humans may originate from extinct relatives like Homo erectus, Homo heidelbergensis, and Neanderthals. While the results don’t fully support the broader hypothesis, they do suggest that the relevant traits are most consistent with Neanderthal ancestry specifically.
Genetic Implications and Future Research
Most people of non-African descent carry 1-2% Neanderthal DNA. While much of this genetic legacy is neutral or even beneficial, some alleles have been linked to immune responses, metabolism, and now possibly skull geometry. The next step for researchers is to analyze the genomes of individuals with Chiari malformations to identify whether Neanderthal-derived sequences are present in cranial development genes.
Conclusion

This study highlights how ancient DNA continues to shape modern biology in unexpected ways. If confirmed, the link between Neanderthal ancestry and Chiari malformation could lead to earlier diagnosis, targeted screening, and a deeper understanding of how our evolutionary past still echoes in our health today.
Source:




