Imagine for a moment that there is something living inside you, quietly influencing your every thought and mood. It sounds like a scene from a science fiction movie, yet for many, this could very well be a reality. Nestled within the shadows of your brain, a microscopic parasite might be dictating your behavior without you ever realizing it. This article delves into the mysterious world of parasites, particularly focusing on one that could be closer to you than you think.
Meet Toxoplasma gondii: The Brain Invader

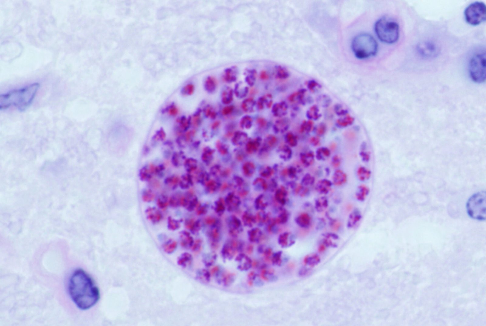
Toxoplasma gondii is a single-celled organism that has managed to captivate the scientific community with its ability to manipulate the minds of its hosts. This parasite is unique in its life cycle, as it primarily reproduces within cats. However, it can infect a wide range of warm-blooded animals, including humans. Once inside a host, Toxoplasma gondii can alter the host’s behavior, making it a topic of fascination and concern for researchers. The parasite’s influence on human behavior, although subtle, is a testament to its evolutionary success.
The Silent Infection: How It Spreads

For humans, the most common way to contract Toxoplasma gondii is through the ingestion of undercooked meat, exposure to contaminated water, or contact with cat feces. Once ingested, the parasite makes its way to the brain and muscle tissue, where it forms cysts. These cysts remain dormant, often causing no immediate symptoms. This stealthy mode of infection allows Toxoplasma gondii to persist undetected, quietly influencing its host’s behavior over time.
Manipulating Minds: The Parasite’s Influence

The idea that a parasite can control behavior may sound far-fetched, but there is scientific evidence to support this phenomenon. Infected rodents, for instance, exhibit reduced fear of predators, specifically cats, which benefits the parasite by increasing its chances of reproducing. In humans, the effects are less pronounced but still significant. Studies have suggested that Toxoplasma gondii infection may be linked to changes in personality traits, such as increased risk-taking and altered response to social cues.
Unraveling the Mechanisms: How Does It Work?

The exact mechanisms through which Toxoplasma gondii exerts its influence are still being unraveled by scientists. One theory is that the parasite alters the levels of certain neurotransmitters in the brain, such as dopamine and serotonin, which play crucial roles in mood regulation and behavior. By manipulating these chemical messengers, Toxoplasma gondii can subtly steer its host’s actions, ensuring its own survival and propagation.
The Psychological Impact: Are You at Risk?

The potential psychological impact of Toxoplasma gondii infection is a subject of ongoing research. Some studies have found correlations between the parasite and mental health conditions, such as schizophrenia and depression. However, it’s important to note that correlation does not imply causation. While the presence of Toxoplasma gondii might be a factor in these conditions, it is unlikely to be the sole cause. Nonetheless, understanding this connection could pave the way for new approaches to treating certain mental health disorders.
Global Prevalence: A Widespread Issue

Toxoplasma gondii is not a rare phenomenon; it’s estimated that up to a third of the world’s population is infected with the parasite. Its prevalence varies by region, with higher rates in places where raw or undercooked meat is commonly consumed. Despite its widespread presence, many people remain unaware of the potential effects this parasite may have on their health and behavior. Raising awareness about Toxoplasma gondii is crucial in mitigating its impact on public health.
Preventive Measures: Safeguarding Your Brain
Preventing Toxoplasma gondii infection involves simple yet effective measures. Proper food handling, such as cooking meat thoroughly and washing fruits and vegetables, can significantly reduce the risk of infection. Additionally, practicing good hygiene around cats, such as cleaning litter boxes regularly and washing hands afterward, can further minimize exposure to the parasite. By taking these precautions, individuals can protect themselves and their families from the potential effects of Toxoplasma gondii.
The Scientific Quest: Ongoing Research

Understanding the full impact of Toxoplasma gondii on human behavior and health is a complex and ongoing scientific endeavor. Researchers are continuously exploring the genetic and biochemical pathways involved in the parasite’s life cycle and its interaction with the host. This research is crucial in developing targeted treatments and interventions that could mitigate the parasite’s effects on human health. As science progresses, we may uncover more about the enigmatic relationship between Toxoplasma gondii and its human hosts.
Personal Stories: Real-Life Experiences

While scientific research provides valuable insights, personal stories also shed light on the impact of Toxoplasma gondii. Individuals diagnosed with the infection have reported subtle changes in their behavior and mental health, prompting them to seek medical advice. These experiences highlight the importance of being informed and proactive in managing one’s health. By sharing their stories, these individuals contribute to a growing awareness of the parasite and its potential effects.
Looking Forward: A Call to Awareness

As we delve deeper into the world of Toxoplasma gondii, it becomes clear that knowledge and awareness are our greatest allies. Understanding the potential impact of this parasite empowers individuals to make informed decisions about their health and well-being. By staying informed and adopting preventive measures, we can protect ourselves from the unseen influence of Toxoplasma gondii. This journey into the microscopic world reminds us of the intricate connections between living organisms and the ongoing quest for understanding in the realm of science.



