Living in America’s heartland means enjoying wide-open spaces, four distinct seasons, and that famous Midwest hospitality. But beneath the surface of our beautiful region lurks hidden health threats that could put your furry family members in serious danger. While coastal states deal with different challenges, the unique environmental conditions of the Midwest create a perfect storm for several devastating pet diseases that many owners don’t see coming until it’s too late.
The Geography of Disease: Why the Midwest Is Different

The Midwest isn’t just about cornfields and friendly neighbors – it’s also home to some unique environmental factors that create ideal breeding grounds for dangerous pathogens. The types of fungus seen vary throughout the U.S.: histoplasmosis is more common in the Eastern and Central U.S.; blastomycosis is more common in the Southeast, Southcentral and Midwest regions. The region’s river valleys, combined with specific soil conditions and wildlife populations, create perfect conditions for diseases that barely exist elsewhere.
What makes this particularly challenging is that many pet owners move to the Midwest from other regions without understanding these regional risks. The humid summers, cold winters, and abundant waterways all contribute to creating environments where harmful organisms thrive, waiting for an unsuspecting pet to wander into their path.
Tick-Borne Diseases: The Silent Midwest Epidemic

Although once confined to the Northeast, Lyme disease has been reported in the Mid-Atlantic states, Midwest, Great Lakes states, southern Appalachia, West Coast and southern Canada. The expansion of tick populations across the Midwest has brought with it a host of dangerous diseases that can devastate your pet’s health. Because Anaplasma is transmitted by Ixodes, the same tick that transmits Borrelia burgdorferi, it is not surprising that the highest concentration of anaplasmosis was found in the Midwest, Northeast and California. Studies have found significant rates of anaplasmosis in the Midwest.
These tiny disease-carrying arachnids are becoming increasingly active across Illinois, Wisconsin, Minnesota, and surrounding states. They don’t just cause itching – they can transmit life-threatening illnesses that attack your pet’s blood cells, joints, and vital organs. The worst part? Most owners never even see the tick that infected their beloved companion.
Lyme Disease: More Common Than You Think

According to the CDC, it is the most common tick-borne disease in people and probably is the most common in dogs, too (although statistics are hard to find). What started as an East Coast problem has steadily marched westward, and Midwest pets are now squarely in the crosshairs. The Upper Midwest and Northeast continue to be the high-risk areas for Lyme disease although those two regions increasingly becoming connected as the risk increases across Indiana, Illinois, Michigan, and Ohio.
The disease attacks your dog’s joints, causing painful lameness that can shift from leg to leg. The most common signs in dogs are low grade fever, weight loss, and lameness or joint pain, which may shift from leg to leg. Symptoms in cats are similar, although cats are less susceptible than dogs. Symptoms may occur as soon as 4 days after exposure to an infected tick, or as long as 1 year later. Many infected dogs show no symptoms initially, making regular testing crucial for early detection.
Anaplasmosis: The Emerging Midwest Threat

Little called anaplasmosis “the new kid on the tick-borne disease block.” The disease presents similar to ehrlichiosis, with fever, anorexia and classic thrombocytopenia. This bacterial infection is spreading rapidly across the Midwest, carried by the same ticks that transmit Lyme disease. The major risks for dogs remain in the Northeast and upper Midwest, where the numbers of dogs testing positive for anaplasmosis can even surpass those testing positive for Lyme in some practices.
What makes anaplasmosis particularly dangerous is how it attacks your pet’s blood cells, causing severe anemia and potentially fatal complications. Signs of anaplasmosis are similar to ehrlichiosis and include pain in the joints, fever, vomiting, diarrhea, and possible nervous system disorders. Pets will usually begin to show signs of disease within a couple weeks after infection. The symptoms can be subtle at first, often mistaken for other common ailments.
Rocky Mountain Spotted Fever: Deadly Despite Its Name

Rocky Mountain spotted fever (RMSF) is commonly seen in dogs in the east, Midwest, and plains region of the U.S. Don’t let the name fool you – this devastating disease is very much a Midwest problem. Rocky Mountain spotted fever is extremely rare in Minnesota, but isolated cases have been reported within the state. This disease is transmitted by the American dog tick.
This bacterial infection spreads through tick bites and can cause high fever, severe headaches in humans, and similar devastating symptoms in pets. The disease progresses rapidly, and without prompt treatment, it can be fatal. The American dog tick, commonly found throughout the Midwest, serves as the primary vector for this dangerous pathogen.
Ehrlichiosis: Expanding Its Territory Northward

We are also continuing to see the progressive northward expansion of the lone star tick, which brings with it increased risk of ehrlichiosis into historically non-endemic states in the Upper Midwest (e.g., Minnesota and Wisconsin) and the New England region. This bacterial disease, once primarily a southern concern, is now creeping into traditional Midwest strongholds as climate patterns shift and tick populations expand.
Ehrlichiosis is transmitted to dogs by the brown dog tick and the Lone Star Tick. Symptoms, which appear less than a month after a tick bite, include depression, reduced appetite (anorexia), fever, stiff and painful joints, and bruising. Antibiotics are usually given for up to four weeks to completely clear the organism. The expanding range of carrier ticks means Midwest pet owners need to be increasingly vigilant about prevention.
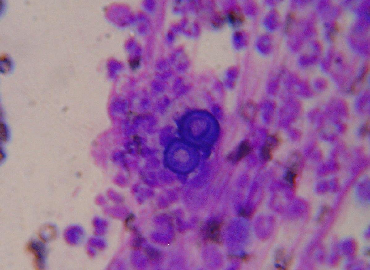
Histoplasmosis: The Midwest’s Fungal Nightmare

Histoplasmosis is a Midwestern disease, affecting pets residing in and around the Mississippi River Valley. This fungal infection represents one of the most significant regional health threats to Midwest pets, thriving in the river valleys and soil conditions that define our landscape. In the United States, histoplasmosis is common in Midwestern states in the Mississippi and Ohio river valleys.
The fungus lives in soil contaminated with bird and bat droppings, which are abundant throughout the Midwest’s river systems and agricultural areas. Cats are infected by inhaling, or less commonly ingesting, infectious spores of the fungus Histoplasma capsulatum, found in soil contaminated with bat and bird feces. Histoplasmosis, caused by a fungus by the name of Histoplasma capsulatum, affects both cats and dogs. Your pet doesn’t need direct contact with infected animals – simply walking through contaminated soil or breathing in disturbed spores can lead to infection.
Blastomycosis: Another Hidden Fungal Threat

It may sound like something out of science fiction, but the fungus Blastomyces dermatitidis – the agent responsible for the systemic infection blastomycosis – is commonly found right here in the Midwest. This devastating fungal infection targets the respiratory system first, then spreads throughout your pet’s body. North American blastomycosis, caused by the fungus Blastomyces dermatitidis, is generally limited to geographically restricted areas in the Mississippi, Missouri, Tennessee, and Ohio River basins and along the Great Lakes and the St. Lawrence Seaway.
Blastomycosis can affect dogs of various ages; sporting dogs are at greater risk, according to Dr. Ian Sprandel at Illinois. The unsuspecting victim inhales microscopic spores, which travel from the lungs throughout the body causing disease. Hunting dogs and outdoor enthusiasts face particularly high risks due to their increased exposure to contaminated soil environments.
Environmental Factors That Amplify Risk

The Midwest’s unique environmental conditions create a perfect storm for disease transmission. The region’s abundant water sources, from the Great Lakes to countless rivers and wetlands, provide ideal breeding grounds for disease vectors. Beaver dams and other habitats where soil is moist, acidic, and rich in decaying vegetation may serve as the ecologic niche for the organism.
Seasonal temperature variations also play a crucial role in disease transmission patterns. Warm, humid summers create optimal conditions for fungal spores to proliferate, while the freeze-thaw cycles of Midwest winters can actually help preserve these pathogens in soil. Agricultural activities common throughout the region frequently disturb contaminated soil, releasing infectious spores into the air where pets can easily inhale them during routine walks or playtime.
Why Early Detection Is Critical

Many of these Midwest-specific diseases share similar early symptoms, making diagnosis challenging without proper veterinary testing. The signs of histoplasmosis are variable and often not specific. Non-specific signs typically include mild fever, depression, weight loss, and loss of appetite. Clinical signs of feline histoplasmosis are generally vague and non-specific, including lethargy, weight loss, anorexia, and fever. Respiratory signs such as cough or trouble breathing are also common.
The earlier the fungal infection is detected, the easier it is to treat. This makes regular veterinary checkups and appropriate testing absolutely essential for Midwest pet owners. Many diseases that seem mild initially can progress to life-threatening conditions if left untreated, underscoring the importance of professional veterinary care at the first sign of illness.
The hidden health risks facing Midwest pets are both serious and largely preventable with proper awareness and veterinary care. From tick-borne diseases expanding their territories to fungal infections thriving in our unique soil conditions, the threats are real and growing. The key to protecting your beloved companion lies in understanding these regional risks, maintaining consistent preventive care, and working closely with your veterinarian to catch problems early when they’re most treatable. Remember, the diseases that barely exist in other parts of the country could be lurking right in your backyard – but knowledge and preparation remain your best defenses against these invisible threats.

Jan loves Wildlife and Animals and is one of the founders of Animals Around The Globe. He holds an MSc in Finance & Economics and is a passionate PADI Open Water Diver. His favorite animals are Mountain Gorillas, Tigers, and Great White Sharks. He lived in South Africa, Germany, the USA, Ireland, Italy, China, and Australia. Before AATG, Jan worked for Google, Axel Springer, BMW and others.



