Neuroscience keeps revealing a startling truth: the most complex piece of known biology sits quietly behind our eyes, rewriting itself as we live. We’ve mapped tides on distant moons, yet the organ that lets us wonder about those moons still guards its deepest tricks. From memory’s fragile edits to emotions that ripple through our bodies, the brain acts like a newsroom, power plant, switchboard, and stage – often all at once. What makes this machine so mysterious isn’t just its scale, but the way small pulses of chemistry become ideas, melodies, choices. The hunt to understand it has never felt more urgent or more exhilarating.
The Hidden Clues

Here’s the big surprise: the brain thrives on patterns, but it hates being predictable. A stray scent can yank up a childhood afternoon, while a headline changes your heart rate long before you’ve finished reading it. Those everyday jolts are breadcrumbs, pointing to a system where perception, memory, and action constantly talk over one another.
I still remember standing in a hospital corridor as a patient described their aura before a seizure – colors twisting into sound – proof that the senses can fuse when circuits misfire. Moments like that make the brain feel less like a single organ and more like a crowded city at rush hour, humming with hidden rules and spectacular detours.
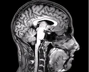
A Map of Maps: Anatomy at a Glance

The cerebral cortex – our wrinkled outer layer – handles language, planning, and perception, with lobes that specialize but rarely work alone. Beneath it, the thalamus relays sensory traffic, while the basal ganglia choreograph movement and habits. The limbic system, including the hippocampus and amygdala, stitches context to emotion, deciding what gets remembered and what can be safely ignored.
Farther down, the brainstem regulates heartbeat, breathing, and wakefulness, the nonnegotiable basics of being alive. Tucked under the back, the compact cerebellum fine‑tunes motion and timing and may even assist with certain thinking tasks. White matter tracts, sheathed in myelin, bind this landscape into a high‑speed network, and ventricles circulate cerebrospinal fluid that cushions, nourishes, and cleans.
From Ancient Tools to Modern Science

Centuries ago, physicians inferred brain function from injury, squinting at deficits to guess what had been lost. That detective work gave way to electrical recordings, then to neuroimaging that can watch blood flow rise as regions compute, a moving weather map of thought.
Today, magnetoencephalography traces millisecond‑fast signals, while intracranial recordings reveal the micro‑rhythms that underlie speech and memory. Animal studies use precise stimulation to probe circuits, and large human datasets help chart typical variation across age and health. The result is a new era where anatomy is not just shape, but function unfolding in time.
Electric Chatter, Chemical Whispers

Neurons spike with tiny voltage waves, but messages travel the synaptic gaps via chemistry – dopamine, glutamate, acetylcholine, and many more. Timing matters: a burst that arrives a fraction too early or late can flip a circuit from silence to sensation. Plasticity – the ability of synapses to strengthen or weaken – lets experience rewrite the brain’s wiring plan.
Glial cells, once dismissed as support staff, guide development, tune signals, and help maintain the brain’s chemical balance. Myelin speeds transmission like insulation on fiber‑optic lines, changing how quickly distant regions can cooperate. Put together, this electrochemical duet turns fleeting patterns into behavior, skill, and memory.
Ten Astonishing Facts You Can’t Unlearn

The human brain weighs about three pounds yet consumes roughly about one fifth of the body’s resting energy, a compact furnace powering thought. It houses about eighty‑six billion neurons alongside a similar order of magnitude of glial cells, with the cerebellum containing the vast majority of those neurons despite its small footprint. If the cortex were unfolded, it would cover about 2.5 square feet – an ingenious space‑saving fold that boosts computing surface – while signals along myelinated fibers can reach roughly one hundred meters per second.
The brain’s own tissue has no pain receptors, which is why surgery can be performed on an awake patient once the scalp and skull are numbed. Learning relies on hundreds of trillions of synapses that adjust their strength across life, and sleep ramps up the brain’s waste‑clearance system to flush metabolic by‑products more effectively than wakefulness. A thick bridge called the corpus callosum carries roughly about two hundred million axons between hemispheres, and limited neuron birth in the adult hippocampus remains a live scientific debate that continues to refine how we think about memory and aging.
Why It Matters

Brain disorders are among the leading causes of disability worldwide, shaping lives, economies, and healthcare systems. A small lesion can erase names but leave music intact, while diffuse changes can cloud motivation without touching IQ; understanding circuits is the difference between guessing and precision care. When we map which networks falter, treatments can move from blunt symptom relief to targeted interventions that restore function.
Compared with older, one‑size‑fits‑all approaches, modern neuroscience treats every brain like a fingerprint – unique, adaptable, and worthy of tailored strategies. That shift reframes tough questions about education, mental health, and aging, making evidence, not myth, the guide for families and policymakers. In practical terms, better brain science turns into earlier diagnoses, smarter therapies, and fewer lost futures.
The Future Landscape

Next‑generation brain–computer interfaces aim to translate intention into motion or speech for people who cannot move or speak, while noninvasive ultrasound and focused magnetic stimulation promise circuit‑specific therapy without incisions. Ultra‑high‑field MRI, whole‑brain cellular atlases, and single‑cell transcriptomics are knitting structural maps with molecular identities, closing the gap between anatomy and chemistry. In parallel, computational models inspired by real circuits are helping to test hypotheses too risky or slow for the clinic.
But progress brings hard challenges: safeguarding neural data, ensuring access beyond wealthy clinics, and avoiding hype that outruns evidence. International collaborations will matter, because brains differ across age, culture, and health, and progress accelerates when datasets and tools are shared. If we get the ethics right, tomorrow’s neuromedicine could feel less like trial‑and‑error and more like guided repair.
Take Part: What You Can Do

Support your own circuitry with basics that science keeps confirming: consistent sleep, regular physical activity, and nutrition that favors whole foods and heart health. Protect your head with seatbelts and helmets, and keep blood pressure, blood sugar, and hearing in check – what’s good for vessels and senses tends to be good for neurons. Keep learning, whether it’s a new language, an instrument, or a different route on a morning walk; novelty trains plasticity like a daily workout.
Consider donating to or volunteering with organizations that fund neurological and mental‑health research, or enroll in community‑based studies that welcome healthy participants. If you’re a caregiver, connect with local support groups that share evidence‑based strategies and practical tools. Small steps compound, and the brain notices.

Suhail Ahmed is a passionate digital professional and nature enthusiast with over 8 years of experience in content strategy, SEO, web development, and digital operations. Alongside his freelance journey, Suhail actively contributes to nature and wildlife platforms like Discover Wildlife, where he channels his curiosity for the planet into engaging, educational storytelling.
With a strong background in managing digital ecosystems — from ecommerce stores and WordPress websites to social media and automation — Suhail merges technical precision with creative insight. His content reflects a rare balance: SEO-friendly yet deeply human, data-informed yet emotionally resonant.
Driven by a love for discovery and storytelling, Suhail believes in using digital platforms to amplify causes that matter — especially those protecting Earth’s biodiversity and inspiring sustainable living. Whether he’s managing online projects or crafting wildlife content, his goal remains the same: to inform, inspire, and leave a positive digital footprint.



