Featured Image. Credit CC BY-SA 3.0, via Wikimedia Commons

Jan Otte

Did You Know? What Lives in Your Gut Could Be the Future of Liver Disease Treatment

Environmental Microbes, Gut Fungi, Liver Disease, Medical Discovery, wildlife

Jan Otte

Researchers have found an unlikely hero in the fight against one of the world’s most common and stubborn liver diseases, an unsuspecting gut fungus. New research suggests that Fusarium foetens, a bacterium found in the human gut, may hold the key to treating metabolic-dysfunction-associated fatty liver disease (MAFLD), which afflicts over 1 in 4 adults globally.

The findings, published May 1 in Science, reveal how this overlooked fungus reduces liver fat, inflammation, and scarring in mice raising hopes for a future human treatment. But how did researchers stumble upon this potential breakthrough, and why has gut fungi remained a mystery for so long?

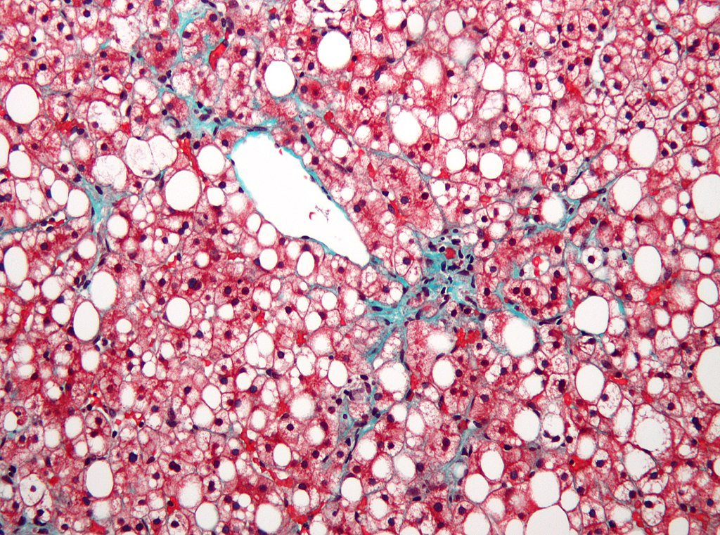
The Silent Epidemic: Fatty Liver Disease’s Growing Toll

Nephron, CC BY-SA 3.0 https://creativecommons.org/licenses/by-sa/3.0, via Wikimedia Commons

Researchers have found an unlikely hero in the fight against one of the world’s most common and recalcitrant liver ailments, a humble gut fungus. Emerging studies suggest that Fusarium foetens, a bacterium that resides in the human gut, may hold the key to eliminating metabolic-dysfunction-associated fatty liver disease (MAFLD), which strikes more than 1 in 4 adults globally.

Despite its prevalence, treatment options are scarce. Only one FDA-approved drug exists for MASH, and its effectiveness varies. “We urgently need new approaches,” says Dr. Changtao Jiang, lead study author and professor at Peking University. His team’s discovery of F. foetens offers a fresh and unexpected path forward.

Gut Fungi: The ‘Dark Matter’ of Digestion

Otávio Astor Vaz Costa, CC BY 4.0 https://creativecommons.org/licenses/by/4.0, via Wikimedia Commons

While gut bacteria have hogged the microbiome spotlight, fungi remain understudied. “They’re the dark matter of our intestines,” Jiang explains. Difficult to culture and easily contaminated (fungal spores float in the air), these microbes have long eluded scientists.

To crack the mystery, Jiang’s team analyzed fecal samples from 100 people across China, plus global datasets. Using a novel “artificial gut” system, a Jell-O-like chip bathed in fecal nutrients, they isolated thriving fungal strains. Among them, F. foetens emerged as a dominant, gut-adapted species.

A Fungus That ‘Melts’ Liver Fat?

In mice fed a high-fat diet, F. foetens triggered striking changes:

  • Liver weight dropped (without affecting body weight).
  • Inflammation and fibrosis markers plummeted.
  • Key fat-producing enzymes (CerS) slowed, reducing harmful ceramide fats.

Even more compelling? Genetically altering mice to block CerS mimicked the fungus’s benefits while boosting CerS worsened disease. “This suggests F. foetens directly targets fat metabolism,” says Jiang.

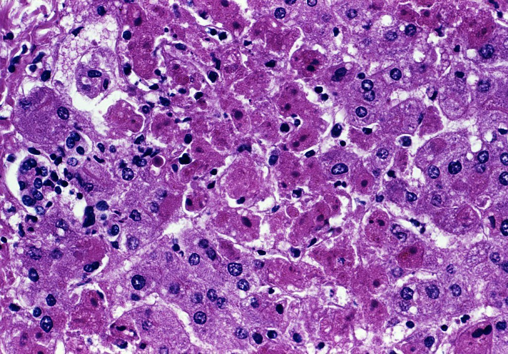
Why This Fungus Works And What’s Next

Kelvinh88, CC BY-SA 3.0 https://creativecommons.org/licenses/by-sa/3.0, via Wikimedia Commons

The researchers attributed the impact to fungal metabolites that interfere with ceramide production. “Mouse guts are different from ours,” warns Dr. Kim Lewis, a microbiome researcher at Northeastern University. “But this paves the way for tapping into unknown microbes for therapy.”

Next steps:

  • Human clinical trials to confirm safety and efficacy.
  • Decoding the exact molecules behind the therapeutic effect.
  • Exploring other gut fungi for metabolic benefits.

A Rural Gut vs. Urban Gut: Why Environment Matters

The study also highlights a gut diversity divide. “Urban residents have poorer fungal diversity than rural populations,” notes Jiang. Diets high in processed foods, antibiotic overuse, and reduced exposure to natural microbes may weaken our internal ecosystems potentially worsening metabolic diseases.

Could rewilding our guts with fungi like F. foetens help? It’s a tantalizing possibility.

From Lab to Medicine: Challenges Ahead

While promising, hurdles remain:

  • Scaling up fungal cultivation for treatments.
  • Ensuring no harmful side effects in humans.
  • Navigating regulatory approval for live microbiome therapies.

Still, the discovery underscores a paradigm shift: “We’re just beginning to mine the gut for next-generation drugs,” says Lewis.

The Takeaway: A New Frontier in Liver Health

Photo Credit:Content Providers(s): CDC/ Dr. J. Lyle Conrad, Public domain, via Wikimedia Commons

This research doesn’t just spotlight F. foetens it rewrites how we view gut-liver interactions. If future studies pan out, we may one day treat fatty liver disease not with pills, but with precision-engineered microbes.

For now, the lesson is clear: The answers to some of medicine’s biggest challenges might be hiding in our own bodies waiting to be found.

Sources:

Leave a Comment